Body Basics
Conditions Hub
Food & Fitness
Life Stages
Mind Matters
Treatment Options
Home
»
Health Library
»
Body Basics
Body Basics
All
Life Stages
Mind Matters
Treatment Options
Food & Fitness
Conditions Hub
Body Basics
Ungual Squamous Cell Carcinoma In Situ: Expert Guide
Verruca Plana Pathology: Key Diagnostic Features And Images
Dermatology Resources: 10 Essential Tools For Clinicians
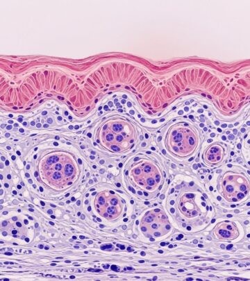
Synovial Metaplasia Pathology: Definition & Clinical Significance
Ultraviolet Radiation: 6 Health Effects And Protection Tips
Sunbeds And Solaria: 5 Major Health Dangers Of Tanning Beds
Soaps And Cleansers: A Comprehensive Guide For Every Skin Type
Skin Problems in Childcare Staff: Risks and Prevention
Psychosocial Factors In Dermatology: 3 Key Clinical Insights
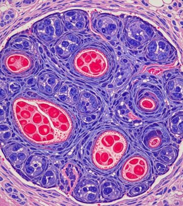
Palisaded and Encapsulated Neuroma Pathology
Primary Cutaneous Diffuse Large B-Cell Lymphoma Pathology
Megalencephaly-Capillary Malformation-Polymicrogyria
Metastatic Melanoma with Unknown Primary
Mint Contact Dermatitis: Complete Guide To Causes & Care
Limes: 3 Skin Reactions And Prevention Guide
Leg Ulcer: Expert Guide To Causes, Diagnosis, And Treatment
Key Clinical Trial Evidence for Alitretinoin
Impetigo Pathology: Clinical, Histologic & Pathogenic Insights
Heat And Cold Skin Injuries: 8 Conditions, Prevention & Care
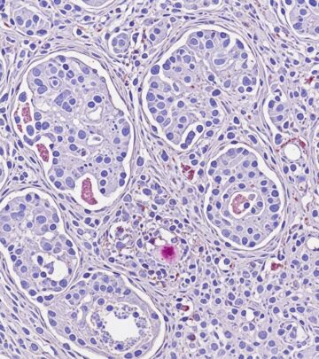
Hidradenocarcinoma Pathology: Clinical, Histology, IHC Guide
Hereditary Focal Palmoplantar Keratoderma
Hairpieces And Wigs: Complete Guide For Thinning Hair
Fig (Ficus Carica) Phototoxicity: Symptoms, Prevention
EBV-Associated Lymphoproliferative Disorders
Dry Skin Images: Clinical Photo Guide For Diagnosis
Dermoid Cyst Pathology: Clinical, Histology, Treatment Guide
Dogtooth Violet: Symptoms, Diagnosis, And Treatment
Cholesterol Emboli Pathology: 5 Key Cutaneous Signs
Undefined Celery: 4 Common Reactions And How To Prevent Them
Cannabinoids In Dermatology: Evidence, Uses, And Safety
Books About Skin Diseases: 7 DermNet-Recommended Texts In 2025
Ataxia-Telangiectasia: Key Symptoms, Diagnosis & Treatment
Anakinra: 3 FDA-Approved Uses And Dermatology Benefits
Alcohol And The Skin: Infographic Guide To Damage & Care
Naevi with Special Features: Dermoscopy Images
Acquired Elastotic Haemangioma Pathology
Melanocytic Naevi: 7-Group Dermoscopic Classification Guide
Tinea Cruris (Jock Itch): Symptoms, Diagnosis, Treatment Guide
Special Stains and Tests in Dermatopathology
Squamous Cell Carcinoma: Is It Deadly? 95-99% Survival Facts
Training for a Marathon: Tips to Keep You Going
Common Nutrient Inadequacies and Deficiencies
How An RDN Can Help With Diabetes: 5 Key Benefits Of MNT
How To Safely Mail Homemade Gifts: Expert Safety Tips
Chickpeas: Complete Guide To Nutrition, Benefits, And Recipes
Diabetic Eye Screening: Key Insights To Protect Vision
7 Proven Habits To Boost Your Energy Levels Without Caffeine
Can White Wine Increase Your Risk for Skin Cancer?
Pseudocarcinomatous Hyperplasia in ALCL Pathology
Palmoplantar Keratoderma Nagashima Type: What You Need To Know
Patient-Oriented PASI Score: 4-Step Self-Assessment Guide
Ocular Melanoma: Causes, Symptoms, Diagnosis, Treatment Guide
Lymphangioma Circumscriptum Pathology: 4 Key Histologic Findings
Interleukin-17 in Inflammatory Skin Disorders
Hydroxyapatite Implant: Types, Uses, And Clinical Benefits
Hand Dermatitis Prevention: 5 Tips For Healthcare Workers
Forensic Dermatology: Guide To Skin Evidence In Investigations
Ginkgo Biloba: 5 Skin Benefits For Radiance And Repair
Eosinophilic Ulcer Of The Oral Mucosa: Diagnosis And Treatment
Electron Beam Radiation for Cutaneous Lymphoma
Epithelial Sheath Neuroma: Key Facts, Diagnosis & Treatment
Elastofibroma Pathology: 5 Hallmark Histological Features
Desmoid Tumors: Causes, Symptoms, and Treatment Options
Cyclophosphamide: Dermatology Uses, Dosing, And Key Precautions
Congenital Erythropoietic Porphyria: What You Need To Know
Congenital Adrenal Hyperplasia: Essential Guide For Patients
Arnica: Traditional Remedy for Bruises and Injuries
Anticoagulants And Antiplatelet Agents: Skin Surgery Guide
Dermoscopic Features: Essential Guide To Skin Lesion Diagnosis
Leg Ulcers: Comprehensive Guide To Healing And Prevention
Acne Mimics: 13 Conditions That Look Like Acne
3D Bioprinting: Expert Guide For Skin Grafts, Models & Testing
6 Healthy Ways to Manage Weight for Sports
Chronic Kidney Disease: How to Keep Your Kidneys Healthy
How An RDN Can Help With Kidney Disease: Nutrition Guide
Lactose Intolerance: 5 Symptoms, 4 Causes, And 3 Treatments
Essential Kitchen Tools for Beginner Cooks
20 Money-Saving Grocery Shopping Tips From Dietitians
What to Eat and Drink Before and After Your Booster Shot
How To Protect Your Gut After COVID: Practical Guide
Milk Hydration Benefits: Why Milk May Be Better Than Water
Childhood Skin Cancer: Prevention, Recognition & Care
Gut-Friendly Veggie Sandwich: 15-Minute High-Fiber Recipe
Echinacea Benefits: 5 Evidence-Based Ways It Boosts Immunity
Skin Protection Trends: Top 5 Strategies For 2026
Trichoscopy of Localised Noncicatricial Hair Loss
Shade For Skin Health: Your Comprehensive UV Protection Guide
TRAPS: Expert Guide To Diagnosis, Symptoms, And Treatment
Subungual Melanoma Pathology: Comprehensive Guide For 2025
Photographic Skin Surveillance: Guide For High-Risk Patients
Pemphigoid: 5 Key Types, Symptoms, Diagnosis, Treatment
Parsley: Uses, Risks, And Prevention Guide
Lichen Striatus Pathology: Key Insights For Accurate Diagnosis
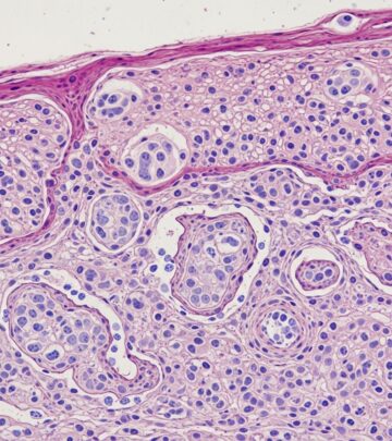
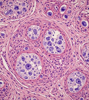
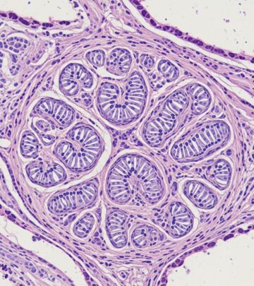
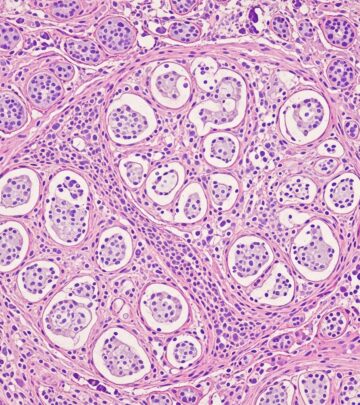
Nail Disorders: A Guide To Causes, Symptoms, And Treatments
Lymphoedema: Causes, Diagnosis, Treatment, And 3 Stages
Lice: Complete Guide To Diagnosis, Treatment, And Prevention